近日,《北京经济技术开发区加快建设全球"新药智造"产业高地行动计划(2023-2025年)》发布,其中明确支持的领域包括T细胞、自然杀伤(NK细胞)、树突状细胞(DC)等免疫细胞治疗。
a
免疫治疗是目前极具前景的癌症治疗方法,它以人体自身免疫系统为基础,充分发挥人体免疫潜能,能够对肿瘤细胞实行有效的抑制甚至清除[1]。其中,自然杀伤 (NK) 细胞是一种在免疫疗法中具有巨大潜力的免疫细胞。
NK细胞:癌症治疗的医学新热点

最近,针对应用NK细胞治疗癌症的研究综述《NK Cell Therapy: A Rising Star in Cancer Treatment》发表于国际肿瘤核心期刊《Cancers》[2]。研究发现,癌症组织中的 NK 细胞数量低于正常水平,这种情况下有助于癌细胞的生长。此外,NK细胞的免疫功能受损,也会干扰抗癌免疫。因此,正在进行许多研究以开发基于增加NK 细胞数量,增强NK细胞活性,解除NK细胞在肿瘤微环境的抑制状态的癌症治疗策略成为主流的研究方向。
NK细胞的生物学特性
NK细胞,全名“自然杀伤细胞”(Natural Killer cell,NK),是在核心的细胞军团中与T、B细胞并列的第三类群淋巴细胞。NK细胞较大,含有胞浆颗粒,故称大颗粒淋巴细胞。NK细胞杀伤的靶细胞主要是肿瘤细胞、病毒感染细胞、较大的病原体(如真菌和寄生虫)等。
MD安德森癌症中心的免疫治疗专家Katy Rezvani说,“NK细胞是集功效、安全性和相对易用性为一体的理想细胞疗法。”在面对癌细胞时,NK细胞不需要其他细胞的激活与刺激,便能直接识别并杀死癌细胞。
NK细胞的三个特点: 第一,它是人体与生俱来的免疫系统,在没有预激活的情况下,NK细胞可以通过释放穿孔素和颗粒酶来识别和杀死异常细胞; 第二,具有广谱的抗肿瘤作用,不需要肿瘤特异性识别,且不会被细胞表面的主要组织相容性复合体(MHC)抑制活性限制。启动时间最快,而T细胞则需要经过抗原提呈之后才能分清“敌我”; 第三,情况反馈及时,一旦发现“敌情”,迅速“上报”并启动整个免疫系统的免疫防御和免疫杀伤功能。
抗癌的关键:保持NK细胞正常功能
NK细胞通过多种途径来起到抗癌的作用,主要过程包括:NK细胞被招募到肿瘤微环境(TME)——NK细胞识别肿瘤并激活——杀伤局部和散在的肿瘤细胞——NK细胞协助适应性免疫应答。然而,在肿瘤微环境(TME)中,免疫抑制细胞和细胞因子抑制 NK 细胞功能。此外,功能失调的 NK 细胞反过来会对其他抗癌过程产生不利影响,形成恶性循环。了解 NK 细胞抑制状态的机制有助于阐明治疗靶点。
增强NK细胞抗癌能力的策略
NK 细胞对于抗癌免疫至关重要。肿瘤微环境(TME)中许多抑制因子的存在已被证明可以抑制 NK 细胞的功能。
1、 同种异体NK细胞输注疗法:NK 细胞可以从多种来源产生,包括外周血(PB)、脐带血 (UCB)、NK 细胞系和诱导多能干细胞 (iPSC)。NK 细胞的体外扩增和功能增强,这也是十分关键的一步。此外,NK 细胞可以在体外进行修饰以表达 CAR,从而使 NK 细胞能够识别特定的肿瘤相关抗原 (TAA),从而提高 NK 细胞疗法的靶向性和疗效。
2、 增强体内NK细胞活性的细胞因子:具有免疫调节作用的细胞因子对于维持 NK 细胞的存活、增殖和成熟至关重要。
3、 免疫检查点抑制剂释放体内NK细胞的活性:癌细胞通过细胞间接触或外泌体分泌靶向免疫细胞上表达的免疫检查点,从而抑制抗癌免疫。
NK细胞疗法的临床应用案例
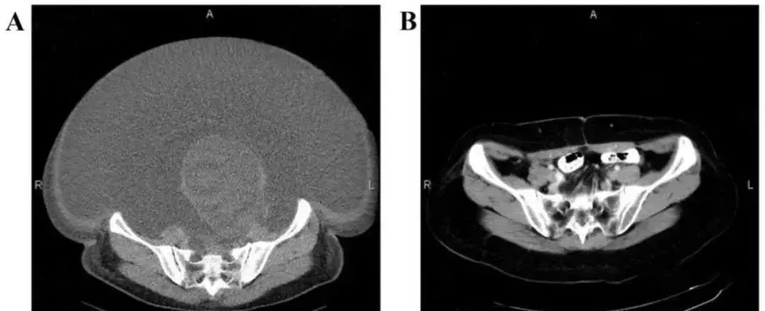
根据文献报道的案例,国内第一例接受NK细胞治疗的卵巢癌患者,是一名60岁的患者,在2015年确诊为晚期,伴有大量腹水和巨大肿瘤,在接受了体外扩增,高度活化的同种异体NK细胞的治疗后,CA125水平从11,270降至580,所有腹水都消失了。此外,CT扫描的肿块体积减小,并且没有出现副作用。

一项临床的观察显示:晚期肺癌患者通过了NK细胞的治疗之后疾病得以稳定的控制,实验证明了NK细胞免疫疗法可作为过继性疗法应用于晚期肺癌患者的治疗当中。
使用方法:
入组的患者至少接受一个疗程(每个疗程包括三次的输注,每次输注的时间长度在30分钟以内)。其中每月接受治疗不超过三个疗程。每个疗程连续输注三次,并持续3天(大约3-5×109每天将HANK细胞收集到输血袋之中,以约2×10的浓度进行输注7/mL)。在治疗以前与最后一次输注后测量淋巴细胞亚群,细胞因子产生以及癌胚抗原(CEA)与胸苷激酶1(TK1)的表达。
实验结果:
发现没有观察到明显副作用。经过了3个月的随访,病情开始稳定进展的患者比例分别为84.6%和15.4%。除此之外,治疗后IFN-γ水平有明显升高,CEA水平大幅下降。其中接受了NK细胞治疗的患者整体的免疫功能保持稳定。
大量研究数据表明,NK细胞疗法在提高恶性肿瘤患者免疫功能和生存质量方面都有极为不错的表现。从2022年最新公布的全球细胞疗法中不难看出,NK细胞疗法很有可能是继CAR-T疗法之后细胞免疫疗法的下一位主角,未来必将在防癌抗癌等领域得到更广泛的应用,并有望给更多患者带来新的选择。
参考文献:
1.曹雪涛 , 何维 , 张利宁, 等 . 医学免疫学 [M]. 第 3 版 . 北京 : 人民 卫生出版社 ,2015.
2.Du N, Guo F, Wang Y, et al. NK cell therapy: A rising star in cancer treatment[J]. Cancers, 2021, 13(16): 4129.
奉献生物科技 关注人类健康 探索 奉献 使命 担当
图片与文字内容均来自第三方 如有侵权请联系删除
